진료예약 및 문의

2D교정

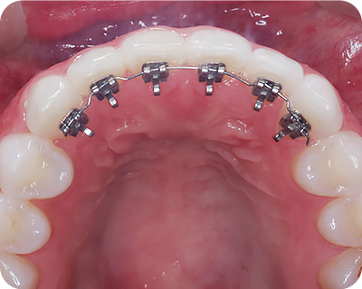
2D(투디)교정은 보이지 않는 설측(입안 쪽)에
독일 Forestadent의 2D bracket을 붙여
앞니만 가지런히 배열하는 부분 치아교정 방법으로
15년 이상의 경험이 녹아든 오알프치과의 특화 진료입니다.

2D교정
OH!ALF치과에서는
다음의 기준으로 치아교정 방법과 장치를 환자분께 추천합니다.
  • 1
    오랜 기간 노하우를 바탕으로 data가 쌓여 있을 것
  • 2
    치료 기간 동안 심미적이고 기능적이되 편안할 것
  • 3
    치료 결과가 좋을 것
  • 4
    위의 조건에 맞더라도 전인적 관점에서 문제가 된다면 추천하지 말 것

2D교정 특장점

  • 15년 이상의 경험

    (독일 Forestadent 본사 인정 아시아 2D교정 최다시술 치과, 국내 최초 2D교정 공식인증치과, 치과의사 대상 2D교정 국내 단독 세미나 다수 강연, Forestadent 초청 대만 2D교정 세미나 다수 강연)

    부분교정을 하는 병원이 많지 않은데 부분교정을 오랫동안 꾸준히 해 온 병원은 극소수입니다.
    특히 다루기 까다로운 설측브라켓인 2D브라켓을 직접법(direct bonding system)으로 임상에 꾸준히 적용하는 치과를 찾기란 쉽지 않습니다.
    OH!ALF치과에서는 15년 이상 2D교정을 진행하며 쌓아온 경험을 토대로 부분교정의 시행착오를 최소화합니다. 부분교정을 잘하는 최고의 노하우는 부분교정에 적합한 케이스를 선별하는 것과 누적된 2D교정 환자수이고 이는 경험에서 비롯됩니다.


    심미적 치간삭제 노하우

    심미적 이유로 치간삭제를 해야하는 경우가 종종 있고 치간삭제의 노하우가 심미적 부분교정의 핵심 중 하나입니다. 심미적 치아삭제를 많이 한 것이 자랑일 수 없으나 경험으로 녹아들어간 것을 부인할 수도 없습니다.


    2D 브라켓의 장점

    설측에 붙이기에 보이지 않아 심미적입니다.
    2D 브라켓은 심플한 디자인으로 설측교정 장치 중 부피가 매우 작아 이물감이 적고 발음이 용이합니다. OH!ALF치과에서 2D교정을 진행하신 많은 방송인, 교수, 강사, 승무원 등 말씀을 많이 하는 분들이 사회 생활에 지장없이 2D교정을 진행하셨습니다.

  • 치료과정
    주치의와의 상담을 통해 치료 목표를 정한 후, 일반적인 치아교정 방법과 같이 2D bracket을 치아의 설측에 붙이고 평균 3~4주 간격으로 치과에 내원하여 교정 체크를 받습니다.
    치료 기간은 치료 목표에 따라 다르지만 평균 5~7개월입니다.
  • 치료대상
    Case 나비 치아, 토끼 이빨, 삐뚠 아랫니, 경미한 앞니 돌출, 경미한 덧니, 블랙 트라이앵글, 전체교정 후 앞니 재발 등
  • 주의사항
    전체 교합과 연관되어 드러난 앞니 배열의 문제는 앞니부분교정으로 개선할 수 없습니다.
  • 부작용
    치아교정은 얼굴 및 치아의 관계에서 치아를 배열하는 것이므로 몸의 문제가 해결되지 않는다면 치료결과에 좀 더 한계가 있을 수 있습니다.
    따라서 주치의와의 충분한 상의 후에 목표를 함께 설정하고 단점을 충분히 논의 후에 치료를 결정하는 것이 좋습니다.